Dental Services
At SurgiDent, we are dedicated to providing top-notch dental care for patients of all ages. From preventive care to advanced restorative and cosmetic dentistry, our expert team ensures personalized treatments tailored to your unique needs. Our clinic is equipped with the latest technology, ensuring precision, comfort, and long-lasting results.
Stained Teeth
Your teeth are like your laundry: The right approach will remove many stains. Foods, medications, tobacco, and trauma are some of the things that can discolor your teeth. You have three options for whitening them.
Crooked Teeth
The fix — orthodontia — isn’t just for kids. And straightening crooked teeth and aligning your bite doesn’t just make for a prettier smile. It can be an key part of improving overall dental health, relieving symptoms like jaw pain.
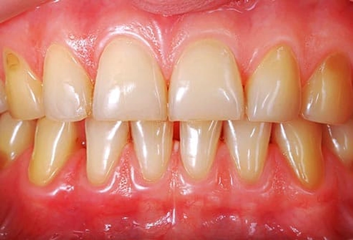
gum disease
cause:Plaque buildup (from poor oral hygiene) Smoking or tobacco use Diabetes Genetics Certain medications
Symptoms: Red, swollen, or bleeding gums Bad breath Gum recession Loose teeth .
Toothache
You’ve made a dentist appointment, and it can’t come soon enough. Meanwhile, it can help to rinse your mouth with warm water, floss to remove food caught between teeth, and take an over-the-counter pain reliever.
Chipped Tooth
It’s the No. 1 type of dental injury. An accident can cause a chip. So can something much less dramatic, like chomping popcorn.
No Room to Floss
No matter how tight the fit, there should always be room for floss between your teeth. If not, you may need to switch to a thinner floss or a waxed one. You can also try a different kind of tool, such as a looped flosser or a dental pick.